free web site builder

Come to „Uncle Dentist“!


Dr Veljko Djakovic is not only an ordinary dentist. He is „Uncle Dentist“.
Above all, a man who enjoys what he does and does what he enjoys.

dr veljko djakovic
Dr Veljko Djakovic

We specialize in preventative care, diagnostics, treatment of the mouth and teeth diseases, prosthetics, jaw orthopaedics,  oral surgery, periodontopathy therapy, cosmetic-estetic dentistry 

Private Dental Office
„Uncle Dentist“

exists for 25 years. 
Dr Veljko Djakovic is not only an ordinary dentist. He is „Uncle Dentist“.Above all, he is really an interdisciplinary and versatile, allaround personality, but also an artist, designer, visionary, ...a man who enjoys what he does and does what he enjoys. 

Private Dental Office
Belgrade-Čukarica

Private Dental Office Dr Veljko Djakovic  is a modern equipped office where you can get all kinds of dental services. From the field of prosthetics, oral implantology, paradontology, endodontics, aesthetic and reconstructive dentistry.

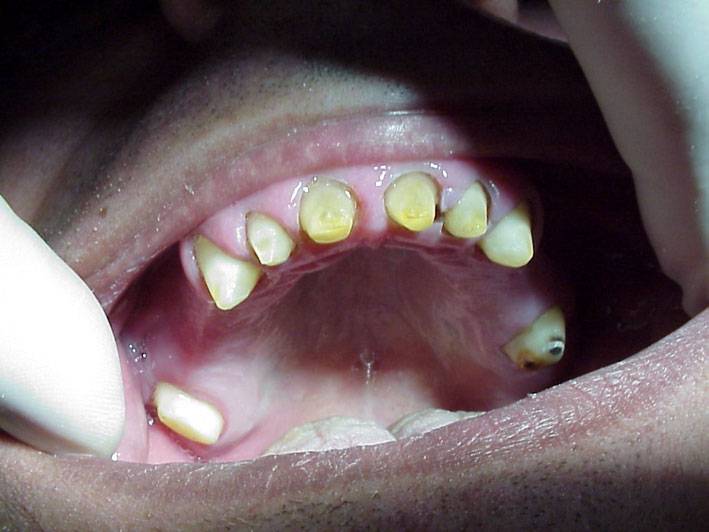
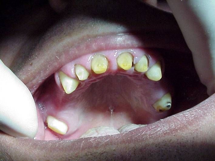
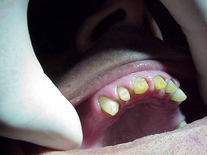
See gallery "How we do"

FAQ

Of course, it hurts ... but less than others

It is possible, we fit into your annual breaks.

Yes, of course, in the color of your teeth

SHARE THIS PAGE!

Sent  message

Adress

Kadinjacka street  No.14
Cerak. Belgrade
Serbia

Contact

Email: support@gmail.com
Phone: +381 11 250 89 33
Mob: +381 64 110 96 32

Work time

Monday to Friday:
from 13  to 20 h
Saturday: from 14 to 19 h
Sunday: Don't work